Diş Taşı Neden Oluşur?
Diş taşı… Çoğu kişi için diş hekimi randevusuna kadar varlığı pek hissedilmeyen, fark edildiğinde ise “bir temizlikle geçer” diye hafife alınan bir durum. Oysa diş taşı, ağız içinde sessizce biriken ve zamanla diş etlerinden genel ağız sağlığına kadar pek çok alanı etkileyen yaygın bir problemdir. Başlangıçta ağrı yapmaması, kızarıklık ya da sızı gibi belirgin bir şikâyet oluşturmaması, onun masum olduğu anlamına gelmez. Tam aksine, bu sessizlik çoğu zaman en büyük tehlikedir.
Günlük hayatta dişlerimizi fırçalıyor, bazen diş ipi kullanıyor ve “nasıl olsa temiz” diyerek aynaya bir kez bakıp yolumuza devam ediyoruz. Ancak dişlerin özellikle arka yüzeylerinde, diş eti hizasında ya da dar aralıklarda kalan bakteri plağı zamanla sertleşerek diş taşına dönüşür. Bu süreç fark edilmeden ilerler. Bir gün aynaya baktığınızda diş etlerinde kanama, ağızda kalıcı bir koku ya da dişlerin eskisi kadar beyaz görünmediğini fark ettiğinizde ise sorun çoktan yerleşmiştir.
Yalnızca estetik bir problem değildir. Sarımsı ya da kahverengimsi görüntüsüyle gülüşü gölgede bırakmasının ötesinde, diş etlerinin sağlığını bozar, iltihaplara zemin hazırlar ve tedavi edilmediğinde diş eti çekilmelerine kadar uzanan bir süreci başlatabilir. Çoğu kişi “dişim ağrımıyor, demek ki sorun yok” diye düşünür; oysa diş taşları sinsice ilerler. Sessizdir, yavaş ilerler ama etkisi derindir.
Diş Taşı Nedir?
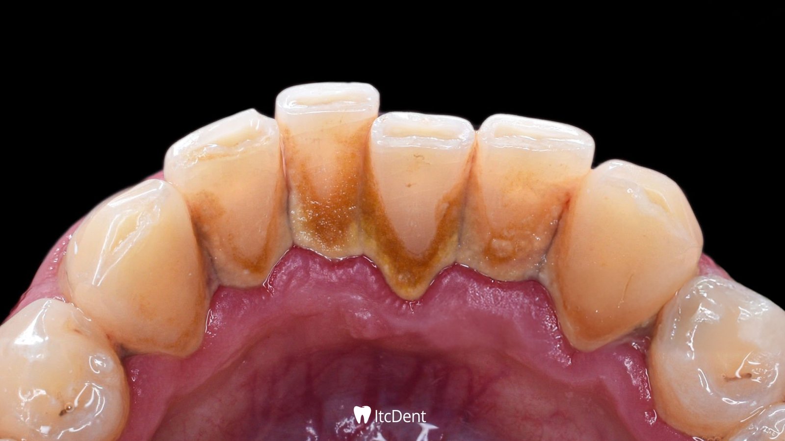
Diş taşı, ağız içinde gün boyunca fark etmeden oluşan bakteri tabakasının zamanla sertleşmiş hâlidir. Yemek yerken, bir şeyler içerken ya da hatta sadece nefes alıp verirken bile ağız içindeki bakteriler aktif hâlde çalışır. Bu bakteriler, diş yüzeyine tutunarak ince, yapışkan ve çoğu zaman gözle fark edilmeyen bir tabaka oluşturur. Bu tabakaya plak denir ve aslında herkesin ağzında oluşur; yani tek başına bir ihmal göstergesi değildir.

Sorun, bu plağın düzenli ve doğru şekilde temizlenmemesiyle başlar. Günler geçtikçe plak, tükürükte doğal olarak bulunan minerallerle birleşir ve yavaş yavaş sertleşmeye başlar. İlk başta hafif pürüzlü bir his veren bu yapı, zamanla dişin yüzeyine adeta yapışır. Artık bu aşamada ortaya çıkan şey diş taşıdır.
Diş taşı oluştuğunda evde yapılan fırçalama ya da diş ipi kullanımı yeterli olmaz. Çünkü sertleşmiş bu tabaka dişle bütünleşmiş gibidir ve normal temizlik yöntemleriyle yerinden oynatılamaz. Bu nedenle diş taşı, yalnızca diş hekimi tarafından yapılan profesyonel temizlikle uzaklaştırılabilir. Erken fark edildiğinde kısa ve basit bir işlemle temizlenebilir.
Diş Taşı Neden Oluşur
En temel nedeni, ağız bakımının yeterince özenli yapılmamasıdır. Dişleri günde bir kez fırçalamak, fırçalarken acele etmek ya da diş ipini tamamen hayatın dışına itmek, plakların diş yüzeyinde kalmasına yol açar. Özellikle dişlerin arka kısımları, diş eti hizası ve diş araları çoğu zaman gözden kaçar. “Zaten fırçalıyorum” düşüncesiyle bu bölgeler ihmal edildiğinde, plak sessizce birikir ve zamanla sertleşerek diş taşına dönüşür. Diş ipi kullanılmadığında ise fırçanın ulaşamadığı alanlar bakteri için adeta güvenli bir sığınak hâline gelir. Bu yüzden birçok kişi düzenli fırçalamasına rağmen neden diş taşı oluştuğunu anlayamaz.
Bunun yanında herkesin ağız yapısı aynı değildir. Bazı kişilerin tükürüğündeki mineral yoğunluğu daha fazladır ve bu durum plakların çok daha hızlı sertleşmesine neden olabilir. Genetik yatkınlık da burada önemli bir rol oynar; ailesinde diş taşı ve diş eti problemleri sık görülen kişiler, ne kadar dikkat ederlerse etsinler bu sorunla daha kolay karşılaşabilir. Sigara ve diğer tütün ürünleri ise diş taşlarının oluşumunu adeta hızlandırıcı bir etki yaratır. Ağız içindeki bakteri dengesini bozar, tükürük akışını azaltır ve dişlerin plak tutmasını kolaylaştırır. Bu nedenle sigara kullanan kişilerde diş taşları genellikle daha koyu renkte olur ve diş eti sorunları daha erken ortaya çıkar.

Beslenme alışkanlıkları ve günlük yaşam tarzı da bu sürecin önemli parçalarındandır. Şekerli ve asitli yiyecekler, gazlı içecekler ve sık sık atıştırmak bakterilerin çoğalmasını hızlandırır. Yeterince su içmemek, ağızdan nefes almak ve ağız kuruluğu yaşamak ise tükürüğün doğal temizleyici etkisini zayıflatır. Özellikle uyku sırasında ağızdan nefes alan kişilerde ağız içi daha çabuk kurur ve bu da taş oluşumunu kolaylaştırır.
Diş Taşı Sadece Estetik Bir Sorun Mudur?
Çoğu zaman sadece dişlerin rengini bozan, gülüşü gölgeleyen bir sorun gibi görülür ama aslında etkisi bunun çok ötesindedir. Diş yüzeyinde biriken bu sert tabaka, bakteriler için ideal bir yaşam alanı oluşturur ve zamanla diş etlerini tahriş ederek kanamaya, şişmeye ve çekilmeye neden olabilir. Ağızda geçmeyen bir koku, dişlerde hassasiyet hissi ve fırçalarken yaşanan rahatsızlıklar çoğu zaman diş taşlarının sessiz uyarılarıdır.
Tedavi edilmediğinde bu süreç daha da ilerler ve dişlerin destek dokuları zarar görmeye başlar; en ileri aşamada ise diş kaybına kadar uzanabilen ciddi sorunlar ortaya çıkabilir.
Diş Taşı Oluşumu Nasıl Önlenir
Dişlerde taş oluşumunu tamamen sıfırlamak her zaman mümkün olmasa da, günlük hayatta edinilen doğru alışkanlıklarla bu riski büyük ölçüde azaltmak mümkündür. Sabah ve akşam dişleri sadece fırçalamak değil, bunu doğru teknikle ve yeterli süre ayırarak yapmak çok önemlidir. Fırçanın ulaşamadığı diş araları için diş ipi ya da ara yüz fırçası kullanmak, plakların sertleşmeden temizlenmesini sağlar. Beslenme tarafında ise şekerli ve asitli yiyecekleri tamamen hayatımızdan çıkarmasak bile sınırlandırmak, bakterilerin çoğalmasını yavaşlatır.
Gün içinde yeterince su içmek ağız içini doğal olarak temizlerken, sigara ve tütün ürünlerinden uzak durmak hem diş taşları hem de diş eti hastalıkları riskini ciddi şekilde düşürür. Bunların yanında, herhangi bir şikâyet olmasa bile altı ayda bir diş hekimi kontrolüne gitmek, oluşmaya başlayan diş taşlarının erkenden temizlenmesini sağlar ve daha büyük sorunların önüne geçer.

