Why Does Tartar Form?
Tartar… For most people, it’s something barely noticed until sitting in the dental chair, and even then often brushed off with the thought, “It’ll be gone after a simple cleaning.” However, tartar is one of the most common problems that silently builds up in the mouth and, over time, affects not only the gums but overall oral health. Just because it doesn’t cause pain at first, redness, or obvious discomfort doesn’t mean it’s harmless. On the contrary, this silence is often the biggest danger.
In daily life, we brush our teeth, sometimes use dental floss, and move on thinking, “They’re clean enough.” Yet bacterial plaque left behind especially on the back surfaces of the teeth, along the gum line, or in tight spaces gradually hardens and turns into tartar. This process usually goes unnoticed. By the time you see bleeding gums, a persistent bad taste or odor, or notice that your teeth no longer look as white as before, the problem has already settled in.
This is not just an aesthetic issue. Beyond its yellowish or brownish appearance that dulls your smile, tartar damages gum health, creates a breeding ground for inflammation, and if left untreated, can lead to gum recession. Many people think, “My tooth doesn’t hurt, so there’s no problem,” but tartar progresses quietly. It’s silent, slow-moving, yet its impact runs deep.
What Is Tartar?
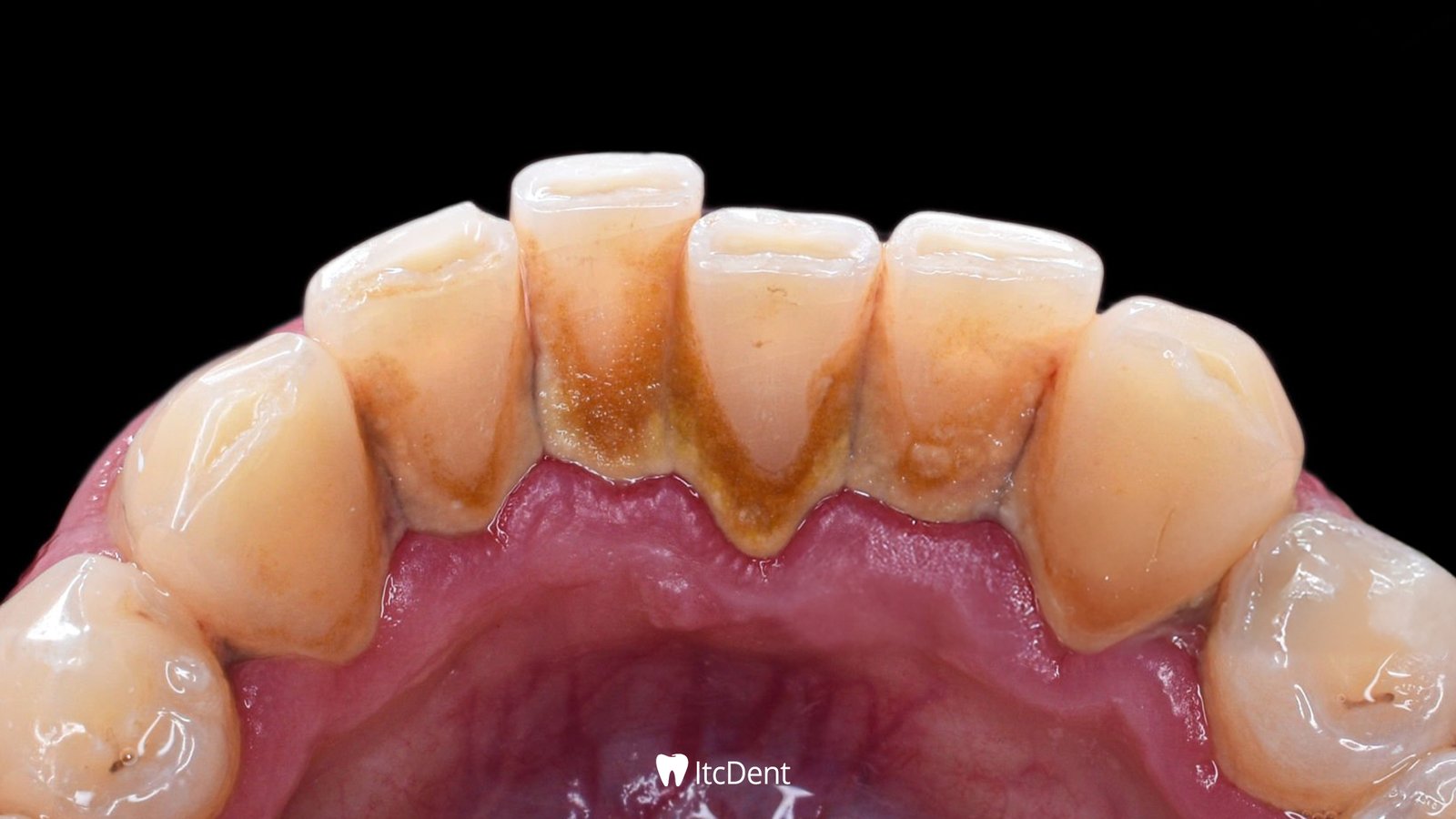
Tartar is the hardened form of a bacterial layer that forms in the mouth throughout the day without us even realizing it. Every time we eat, drink, or even simply breathe, bacteria inside the mouth are active. These bacteria cling to the tooth surface, forming a thin, sticky, and often invisible layer known as plaque. Plaque forms in everyone’s mouth, so its presence alone is not a sign of neglect.

The real problem begins when this plaque is not cleaned regularly and properly. Over time, it combines with minerals naturally found in saliva and gradually hardens. At first, it may just feel slightly rough, but soon it adheres firmly to the tooth surface. At this stage, it is no longer plaque it has become tartar.
Once tartar has formed, brushing or flossing at home is no longer enough. Because this hardened layer bonds tightly to the tooth surface, it cannot be removed with routine cleaning methods. For this reason, tartar can only be eliminated through professional cleaning performed by a dentist. When detected early, it can be removed quickly and easily.
Why Does Tartar Form
The most basic reason is insufficient or careless oral hygiene. Brushing only once a day, rushing through brushing, or completely ignoring dental floss allows plaque to remain on the tooth surface. The back areas of the teeth, the gum line, and the spaces between teeth are often overlooked. When these areas are neglected with the thought, “I already brush my teeth,” plaque quietly accumulates and eventually hardens into tartar. Without flossing, the areas a toothbrush can’t reach become a safe haven for bacteria. This is why many people wonder why they still get tartar despite brushing regularly.
In addition, everyone’s oral structure is different. Some people have saliva with a higher mineral content, which can cause plaque to harden much faster. Genetic factors also play an important role; individuals with a family history of tartar and gum problems may experience faster buildup even with good oral care. Smoking and other tobacco products significantly accelerate tartar formation. They disrupt the balance of bacteria in the mouth, reduce saliva flow, and make it easier for plaque to stick to the teeth. As a result, tartar in smokers is often darker in color, and gum problems tend to appear earlier.

Dietary habits and daily lifestyle are also key parts of this process. Sugary and acidic foods, carbonated drinks, and frequent snacking speed up bacterial growth. Not drinking enough water, breathing through the mouth, and experiencing dry mouth weaken saliva’s natural cleansing effect. Especially in people who breathe through their mouth during sleep, the mouth dries out more quickly, making tartar formation easier.
Is Tartar Only an Aesthetic Problem?
It is often seen as nothing more than a cosmetic issue that discolors the teeth and dulls the smile, but its effects go far beyond appearance. This hardened layer on the tooth surface creates an ideal environment for bacteria and, over time, irritates the gums, leading to bleeding, swelling, and recession. Persistent bad breath, tooth sensitivity, and discomfort while brushing are often quiet warning signs of tartar.
If left untreated, the process continues to progress, damaging the supporting structures of the teeth and, in advanced stages, leading to serious problems that can even result in tooth loss.
How Can Tartar Formation Be Prevented?
Preventing tartar completely is not always possible, but with the right daily habits, the risk can be significantly reduced. Brushing your teeth in the morning and evening is important, but doing it with the correct technique and allowing enough time is just as essential. Using dental floss or interdental brushes for areas a toothbrush can’t reach helps remove plaque before it hardens. On the nutrition side, even if sugary and acidic foods aren’t eliminated entirely, limiting them slows bacterial growth.
Drinking enough water throughout the day helps naturally cleanse the mouth, while staying away from smoking and tobacco products greatly reduces the risk of both tartar buildup and gum disease. In addition, visiting the dentist every six months even without any complaints allows early tartar formation to be removed before it turns into a bigger problem.

